Результаты диагностики
Остеохондроз шейного отдела
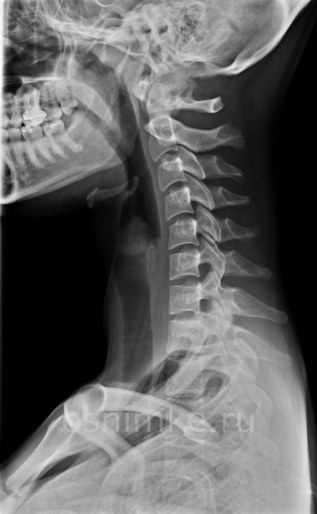
Получив результаты исследования, врач внимательно изучает, что показал рентген шейного отдела позвоночника. По результатам снимков можно увидеть отклонения или особенности в этом отделе:
- последствия травматического повреждения позвоночного столба в области шеи. Это могут быть вывихи, ушибы, смещения, трещины;
- трансформация позвоночника в области шеи;
- наросты, образовывающиеся вокруг позвоночной артерии в районе первого шейного позвонка — это аномалия Киммерле. Эта патология является врождённой, поэтому диагностировать её можно даже у маленьких детей. При сдавливании позвоночной артерии происходит нарушение кровоснабжения;
- дегенеративно-дистрофические изменения, например, шейный остеохондроз;
- воспалительные патологии, провоцирующие раздражение межпозвонкового нерва. Это состояние провоцирует шейный радикулит;
- наличие аномального костного образования, например, клиновидного позвонка;
- искривление позвонков из-за разрастания костной ткани. К таким патологиям относится спондилез;
- остеопороз в шейном отделе позвоночника;
- обменные нарушения;
- кифоз в шейно-грудном сегменте;
- опухоли, локализованные в шейном отделе;
- грыжи и протрузии дисков.
Когда требуется рентген?
Известно, что рентгеновское излучение вредно для организма, но исследовать состояние поврежденного коленного сустава и оказать помощь пациенту можно, используя только этот метод. Вред от современного оборудования сведен к минимуму, негативное воздействие можно почувствовать лишь при частом, а не единоразовом использовании.

Показания к назначению рентгена коленного сустава:
- перелом костей, трещины, вдавливания;
- смещение, растяжение, вывих, разрыв связок;
- травмы мягких тканей;
- разрыв ПКС;
- травмы сухожилий;
- деформация костной ткани;
- нарушения костей после травм;
- опухолевые образования, кисты;
- артрит, артроз;
- костные изменения при остеосклерозе, остеофите и остеопорозе.
На рентгеновский снимок коленного сустава одновременно попадает область колена, район малоберцовой, большеберцовой, бедренной костей.
Одного хорошего оборудования недостаточно, чтобы увидеть нарушения и поставить диагноз. Врач должен обладать определенным опытом, чтобы знать под каким углом и с какой стороны делать рентген коленного сустава. В каждом индивидуальном случае нога пациента укладывается определенным образом, выбирается проекция. В сложных случаях производится имитация 3D модели сустава.
Сделать снимок колена и определить причину патологического состояния нужно, если пациент жалуется на следующие проявления:
- покраснение и боль;
- отек или припухлость;
- неестественное расположение кости;
- суставную деформацию.
Все перечисленные симптомы могут сопровождаться повышением температуры тела.
Рентгеновские лучи иногда не могут полностью отобразить внутреннюю картину и состояние костей. Но некоторые повреждения может показать именно этот аппарат.
О том, как проявляется воспаление в колене, узнайте в другой статье.
Диагностику может осложнять лишний вес у пациентов. Повышенная жировая и мышечная масса не дает лучам добраться до цели, и снимок получается размытым. Противопоказанием служит наличие имплантатов в ноге.
Рентгенография коленного сустава применяется для диагностики суставных щелей, разрыва ПКС. Если кости смещены, то это негативным образом влияет на работу всего опорно-двигательного аппарата, на целостность тканей, связок и мышц.
Как делают рентгеновский снимок коленного сустава
Рентгенограмма делается чаще всего в двух проекциях: прямой и боковой.
При некоторых патологиях, кроме стандартных 2 -х, могут быть применены другие проекции.
- Прямая проекция используется для диагностики перелома и выполняется лежа.
- Боковая проекции делают при обследовании сумок в области коленной чашечки
- При разрывах боковых и крестообразных связок, асептическом некрозе, остеоартрите делается чрезмыщелковая проекция.
- Патологии надколенника и суставных сочленений — тангенциальная П.-
При разрывах связок выполняется функциональный снимок с упором на больную ногу. Во всех проекциях, кроме прямой, рентген делается стоя.
Как проходит подготовка к рентгену колена
Особой подготовки к рентгенографии КС (диеты, отказ от приема пищи и воды накануне обследования, очистка кишечника), как это происходит при рентгене ЖКТ, не требуется.
- Пациенту необходимо снять с себя все металлические предметы, находящиеся в зоне колена.
- Защитным фартуком закрывается пах, и лаборант производит необходимую укладку колена.
- Если делается аналоговая рентгенография, то необходимо соблюдать требование максимальной неподвижности и быть готовым к тому, что возможно придется сделать повторный снимок.
- При цифровом рентгене такой надобности нет: обследование происходит в таком же режиме, как и при УЗИ. Результат выводится сразу на монитор, и сразу же расшифровывается специалистом.
- Результат аналоговой рентгенографии получают с задержкой: больной ждет проявления пленки и описания снимка врачом.
Как еще можно обследовать коленный сустав
Рентген — добрый проверенный способ диагностики, но не он всесилен. Его лучше выполнять при патологиях костей, но при периартрозе или периартрите, патологиях хрящей, опухолях мягких тканей, например, синовиоме, однозначно лучше прибегать к другим способам обследования:
- УЗИ;
- компьютерной томографии (КТ);
- ядерно-магнитному резонансу (МРТ).
Сколько стоит рентген колена
Рентген колена аналоговый обычно стоит недорого. Однако такой метод используется в современных клиниках все реже.
Подороже цифровая рентгенография: она по цене может соперничать с УЗИ, и иногда даже быть дороже: стоимость снимка коленного сустава в 2-х проекциях может доходить до 2000р.
Рентген шейного отдела позвоночника: показания и особенности проведения
Шейный отдел позвоночного столба является сложной для визуализации структурой, поскольку здесь находятся сосуды, мышцы, связки, кости, сухожилия, межпозвоночные диски. Чрезвычайно важным является отдел и потому, что в толще позвонков залегает спинной мозг, передающий импульсы в различные отделы человеческого тела. Здесь же расположены и крупные кровеносные сосуды, питающие головной мозг. Даже незначительная травма способна отразиться на работе органов кровоснабжения и центральной нервной системе.
Рентгенография шейного отдела позвоночника показана при таких заболеваниях:
- остеохондроз;
- травмы у детей, полученные в результате родовой деятельности;
- кифоз;
- спондилез;
- врождённые аномалии в шейном отделе;
- шейный лордоз;
- артрит;
- деформации межпозвоночных дисков;
- шейный радикулит;
- онемение конечностей;
- хруст при повороте головы;
- опухоли или их метастазы;
- головная боль невыясненного происхождения.
Чаще всего в результате рентгенологического исследования обнаруживается остеохондроз и межпозвоночные грыжи.
Расшифровка результатов
Рентгенография ОГК – это достаточно информативное исследование, которое требует правильной расшифровки. Рентгенолог берет в руки снимок и делает свое заключение, а после передает данные лечащему врачу.
В описании должна быть информация о размере и расположении сердца, органов из дыхательной системы, состоянии сосудов и лимфы. Если на снимке замечены инородные тела, затемнения, образования, то все это описывается в результатах.

Рентген легких позволяет оценить размер органа, его форму, структуру тканей, а также расположение и других органов, локализующихся в этой же части организма.
Чтобы получить более точную информацию, специалисту нужен рентген в 2-х проекциях, где точно просматривается: ткань легкого, тень от сердца, костной ткани позвоночного столба, грудины, плечевого пояса. Изображение различных органов накладывается одно на другое.
Чтобы точно провести расшифровку данных, необходимо знать, как выглядит рентген органов здорового пациента. Например, небольшое затемнение, просветления, ассиметричный рисунок легких – это все может указывать на развитие серьезнейшей патологии. Если регулярно проходить обследование, то легко можно выявить болезнь на ранних стадиях.
Перед расшифровкой рентгена обязательно оценивается сам снимок. Возможно процедура была проведена неправильно (расположение пациента было неправильным, неверно выбрана проекция), в этом случае данные будут неточными.
После осмотра снимка и оценки его качества, специалист составляет протокол расшифровки, придерживаясь такого алгоритма:
- точное название обследования, в какой из проекций выполнен снимок;
- оценивается симметрия полей легкого;
- выявлены или нет патологические очаги;
- описывается рисунок легкого;
- описывается корни легких, есть ли нарушения в структуре лимфоузлов;
- при заболеваниях сердца обязательно описываются тени органов средостения;
- описываются дуги всех крупных сосудов и сердечных желудочков;
- оценивается состояние диафрагмы, дается точная оценка симметрии диафрагмы, угол синуса, заполнен он или нет.
Самостоятельно оценить состояние здоровья неопытному человеку по рентгеновскому снимку будет сложно. Но глядя на него, он может разглядеть затемнения или просветления и уже после обратиться за помощью к специалисту, чтобы узнать точный диагноз.
Нормальными показателями рентгена для людей до 50 лет считаются:
- никаких очаговых теней;
- структура корней не изменена;
- контуры диафрагмы ровные;
- реберно-диафрагмальные синусы свободны;
- газ под куполом диафрагмы не наблюдается;
- никаких изменений в костной ткани.
У пожилых людей нормой могут считаться:
- чуть увеличенная тень сердца;
- прозрачность полей легких чуть повышена;
- небольшая деформация рисунка легких;
- сниженная эластичность тканей.
А вот затемнения на снимке – это очаг воспаления. Пневмонию определяют выраженные тени, застои в венах, отеки тканей легкого. На туберкулез указывает дорожка к корню легкого, увеличенные лимфоузлы, аффект (первичный очаг) в верхней доле легкого. На опухоль указывают затемнения, плотная ткань органа, слишком чистые легкие, купол диафрагмы чуть подтянут вверх.
1 Что показывает рентген коленного сустава?
Рентгенодиагностика коленного сустава может определить повреждения воспалительного, травматического или инфекционного характера. На снимке хорошо различимы костные и хрящевые ткани. Рентген позволяет увидеть не только повреждения костных и хрящевых тканей, но и наличие новообразований, исходящих из них, либо «растущих» в окружающих тканях.
Рентген показывает наличие костных остеофитов, некоторых злокачественных или доброкачественных новообразований. Рентген также может показать воспалительные очаги, которые на рентгеновском снимке выглядят как участки затемнения.
Иногда можно заметить жидкость в суставе, но ее придется дифференцировать с воспалением, так как на снимке все будет выглядеть как затемнение. Косвенно можно заметить участки обызвествления на костях, примыкающих к суставам колена (с помощью чего можно диагностировать такие патологии, как болезнь Шляттера).
1.1 При каких симптомах назначают?
Рентгенографию коленных суставов проводят не только при наличии патологической картины. Процедура рекомендована спортсменам и людям, входящим в группу риска по различным болезням колен (особенно это касается мужчин старше 50 лет). В таких случаях проводят плановую диагностику раз в 1-3 года.
Рентген также делают при следующих симптомах:
- Хронический болезненный синдром, локализующийся в коленных суставах.
- Процедура делается при необъяснимой хромоте, изменении высоты конечностей (когда одна становится выше другой), при перекосе таза (для выяснения причины).
- Обязательно нужно сделать рентген при ощущении жара в коленной чашечке, как субъективном (ощущает только больной), так и объективном (ощущается при пальпации коленной чашечки).
- Появление боли или хруста при ходьбе.
- Если колено болит от холода или, напротив, от жары (например, в ванной).
- Скованность в движениях сустава (частичная или полная иммобилизация).
1.2 Какие болезни и травмы позволяет выявить?
Снимок коленных суставов позволяет выявить достаточно большое количество отклонений, особенно если процедура проводится в двух проекциях.
Процедура позволяет выявить следующие патологии:
- артрозы или артриты различной этиологии (включая псориатический, травматический и инфекционный артрит);
- смещение мениска, повреждения (включая разрывы), воспаление;
- тяжелое растяжение или разрыв связок;
- бурсит и синовит;
- травмы: вывих колена, вывих надколенника, переломы;
- злокачественные и доброкачественные новообразования, включая костные остеофиты и кисту Бейкера;
- различные дегенеративно-дистрофические патологии, включая хондроматоз и гонартроз.
1.3 Противопоказания для проведения
Абсолютных противопоказаний к рентгенографии коленных суставов нет. Процедуру можно в теории проводить неограниченное количество раз, особого вреда организму больного это не даст, поскольку процедуру проводят прицельно, с облучением только коленной области.
Для дополнительной безопасности пациенту могут выдать свинцовый защитный фартук, который надевается на живот и закрывает органы брюшной полости и репродуктивные органы. Их защита обязательна, так как ионизирующее излучение от рентгена сильнее всего «бьет» именно по ним.
Серийные (частые) рентгенографические обследования большинству пациентов не вредны, причем независимо от их возраста. Однако, если имеется возможность, лучше избежать частых процедур с помощью рентгена или компьютерной томографии.
1.4 Сравнение с МРТ и УЗИ: что лучше?
Диагностирование коленных суставов с помощью рентгенографии является самым распространенным и частым методом обследования. Рентген стоит дешево, не требует серьезной предварительной подготовки к проведению. Такие аппараты встречаются не только в крупных больницах: они есть и в небольших поликлиниках (в отличие от МР и компьютерных томографов, которые имеются далеко не в каждом медучреждении).
Если сравнить этот метод с другими видами диагностики:
Народ опешил! Суставы восстановятся за 3 дня! Приложите…
Мало кто знает, но именно это лечит суставы за 7 дней!
- УЗИ. Ультразвуковое исследоование предназначается для мягких тканей, а рентген – для хрящевых и костных. В том числе УЗИ способно оценить состояние артерий и вен, тогда как рентген, даже самый современный, это сделать не может.
- Магнитно-резонансная томография. МРТ эффективнее рентгена: позволяет получить полноценную картину патологии, так что лучше проводить именно ее. Но процедура обходится дороже, и доступна только в крупных медицинских учреждениях.
Коленный тутор при травмах колена
Медицина постепенно отходит от использования классических гипсовых повязок и при травмах, где это возможно, начинает использовать всевозможные альтернативы гипсу. Одной из таких альтернатив является коленный тутор, который обладает очевидным преимуществами над обычной гипсовой повязкой:
- лучше фиксирует коленный сустав;
- ходьба в нем комфортнее;
- обладает корректирующим свойством при возможном изменении формы конечности;
- больная нога меньше нагружается и находится в полном спокойствии.
В зависимости от необходимого лечения, тутор может использоваться для:
- фиксации конечности;
- разгрузки;
- корректировки при деформациях.
Изменения в суставах
При обследовании колена врач назначает рентгенографию в качестве первоочередного обследования. В зависимости от цели исследования назначают рентген в прямой или боковой проекции. На сделанных снимках можно увидеть:
- Суженную суставную щель при деформирующем остеоартрозе. На снимке будут видны уплотнения суставной поверхности. От этого сустав подвергается деформации, и становятся видны остеофиты (костные наросты) и склерозированная ткань хряща.
- Различные по размеру и форме повреждения костей при переломах.
- Костные наросты на истонченных костных пластинах при заболеваниях, носящих воспалительный характер. Также врач сможет оценить состояние пациента по видимому на снимке уменьшению ширины суставной щели.
- Несимметричное строение костей при врожденных патологиях.
- Образования неправильной формы, расположенные на кости с разрушенными участками тканей при образовании опухолей.
- Смещение костных поверхностей при вывихе колена. В этом случае на снимке видно поврежденную коленную чашечку.
- Уменьшенное расстояние между костями коленного сустава при начальной стадии артроза. Неравномерно и значительно суженную суставную щель при сформированном гонартрозе.
При артрозе колена чаще всего назначается рентгеновское обследование. При этом обследовании врач может качественно оценить изменения в костной ткани. При обследовании патологий мягких тканей и хрящей прибегают к альтернативному методу ультразвукового исследования. Этот же метод чаще всего применяют и у детей, как более щадящий.
Коксартроз тазобедренного сустава 2 степени, симптомы, лечение
Если перелом в колене является закрытым, не имеет осколков и дополнительных осложнений (смещения), пациенту накладывают гипс, который необходимо носить от 1,5 до 2 месяцев. Но, при травме мыщелка, перед наложением гипса делается пункция с помощью полой иглы для удаления в суставе скопившейся крови после перелома, а затем ввода через ту же иглу (она сразу не вынимается) обезболивающего (новокаина).
Если при переломе произошел разрыв мягких тканей, и от костей откололось несколько фрагментов, лечение пациента начинается с хирургического вмешательства. Кости восстанавливают по частям, собирая все фрагменты в их первоначальное положение и скрепляя их между собой хирургическими спицами, винтами, и болтами. Также для этой цели могут применяться стальные штифты и пластины.
Только после удачного хирургического вмешательства на поврежденную ногу можно накладывать гипс. Сколько будет длиться процесс заживления сустава, зависит от индивидуальной физиологии человека. Но такие травмы заживают дольше, чем остальные виды переломов.
Через 2 дня начальное лечение с помощью постоянного вытяжения дополняется боковым натяжением, при котором применяется боковые тяги, накладывающиеся на мыщелок и голень, груз их составляет около трех килограмм.
Как проводится рентгенография колена?
Если коленный сустав находится в норме, тогда в любой проекции рентгеновского снимка отсутствуют даже минимальные патологические образования.
Здоровый сустав имеет одинаковую с обеих сторон суставную щель, без образований и наростов.
Но лучше рентген здорового коленного сустава не делать, так как полученное организмом секундное излучение приравнивается к дозе облучения, которую человек получает в течение суток.
Несмотря на значительную информативность, рентген имеет свои недостатки:
- процедуру рентгена не назначают беременным и кормящим женщинам, а также детям до 14 лет и пациентам, ранее подвергшимся сильному радиационному облучению;
- если в процессе обследования неправильно уложить конечность, то пострадает качество изображения, из-за чего трудно будет провести диагностику пораженного участка ноги;
- не всегда из-за травмы колена меняется его костная структура, в результате все повреждения приходятся на связочно-менисковый аппарат, что полностью рентгенография выявить не способна.
Получить направление на рентген можно, если заметно изменился цвет кожи на больной ноге, стало трудно передвигаться, при болевых ощущениях в суставе, по причине припухлости или деформации колена.
Также рентгенография показана пациентам с различного рода повреждениями и травмами, например, при переломах и вывихах.
Так как специальной подготовки к рентгену не требуется, пациент сразу же может отправиться на процедуру, которая в общей сложности займет пару минут.
Вначале пациент оголяет конечность и располагается на специальном столе. В ходе процедуры по просьбе рентгенолога больной осуществляет сгибание и разгибание колена, оставляя его в нужном положении.
Видео:
https://youtube.com/watch?v=iOcN1lIMbZ4
Во избежание облучения всех остальных частей тела врач на время процедуры прикрывает их свинцовой защитой.
Анализируя полученные снимки, рентгенолог составляет описание, в медицинский протокол вносит данные о текущем состоянии костных поверхностей, указывает параметры суставной щели и положение надколенника, подтверждает или отрицает наличие патологических образований.
С полученным у рентгенолога результатом пациент отправляется к своему лечащему врачу, который изучает данные протокола и назначает оптимальный метод лечения коленного сустава.
Снимок здорового коленного сустава
Многие годы пытаетесь вылечить СУСТАВЫ?
Глава Института лечения суставов: «Вы будете поражены, насколько просто можно вылечить суставы принимая каждый день средство за 147 рублей…
Если сделать снимок здорового сустава в прямой проекции можно увидеть суставные концы большеберцовой и бедренной кости. Осколков и трещин на поверхности кости видно не будет. Однородной будет и плотность костной ткани. Соответствовать друг другу будут и поверхности концов костей. Симметричной будет и суставная щель с обеих сторон, без вкраплений и наростов.
Что может показать рентген-снимок колена
Суставная щель на прицельном снимке будет выглядеть широкой, будто между костями пустота. Возникает такая иллюзия в силу того, что рентгеновский луч проходит через хрящевую ткань, покрывающую суставные поверхности, без препятствий.
На снимке сам хрящ будет не виден, но по подлежащим замыкательным пластинам сустава определяют его изменения.
Если сделать рентген колена можно выявить такие патологии:
- Артрит или артроз сустава. Эти заболевания видно по поражениям суставного хряща: утончению или утолщению замыкательных суставных пластин.
- Вывих или травматическое повреждение сустава. В этом случае делают несколько снимков с периодичностью между ними для контроля лечения.
- Врожденные изменения суставов.
- Для выявления опухолей.
В зависимости от выявляемого заболевания делают снимки коленки в одной или двух проекциях. Прицельный снимок или боковую рентгенографию при согнутом колене врач назначает при подозрении на перелом. Этот метод остается по-прежнему актуальным, несмотря на более современные методы диагностики.
Показания к рентгену коленей
Рентгеновский снимок незаменим при повреждениях суставов или исследовании заболеваний. Этот метод применяют для отслеживания динамики изменений в результате лечения, а также для первичной диагностики.
Этот метод диагностики показан:
- При имеющихся покраснениях и припухлостях с повышением температуры тела.
- При деформации суставов.
- При смещении костей.
- При болях в суставе для выяснения причин.
- При повреждениях оболочки коленного сустава.
- При подозрениях на кисту или онкологическое заболевание коленного сустава.
- При подозрении на артроз или остеопороз.
Этот метод не только показывает изменения в костях, но и наличие жидкости в суставах. От заболевания намного легче избавиться при раннем выявлении патологии.
Противопоказания
Рентгенография имеет свои противопоказания, как и все медицинские исследования, в случаях:
- Беременности на всех сроках.
- Заболевания шизофренией и другими психическими расстройствами в период обострения.
- Тяжелого состояния пациента.
- Сильного ожирения (при этом заболевании снимок искажается).
- Наличия болтов и металлических протезов в колене.
- Имеющейся лучевой болезни.
После проведенного рентгеновского обследования не рекомендуется планировать зачатие детей мужчинам в течение трех месяцев, а женщинам в течение одного. В случаях частого назначения этого вида обследования рекомендуется употреблять зеленый чай, молоко и натуральные соки с мякотью.
Делая один снимок коленного сустава, человек получает дозу облучения, равную дневной дозе облучения при пользовании мобильным телефоном. Современное оборудование позволяет получать меньшую дозу облучения.
Какие заболевания коленного сустава можно определить при рентген-диагностике?
Данное обследование в большинстве случаев становится довольно информативным для врача, потому что показывает рентген коленного сустава не только само костное сочленение, но и части бедренной и большеберцовой кости, которые его образуют. Также становятся доступными к визуализации малоберцовая кость, коленная чашечка, и поэтому если уже назначается такая процедура, то ее обычно проводят как минимум в двух проекциях – прямой и боковой.
Фрагменты образующих колено костей, доступные к визуализации при его рентгене, оцениваются не только рентгенологом, но и лечащим специалистом
Повреждения сустава
На рентгеновском снимке колена хорошо диагностируются различного вида травмы, которым периодически подвергаются суставы многих людей. Это могут быть:
- Нарушение целостности костей – переломы, трещины, вдавления. Как правило, небольшие трещины и вдавления отчетливо становятся видны только через несколько дней после травмы, и поэтому в первые дни сложно поддаются диагностике.
- Вывихи – изменение расположения костей относительно друг друга, вследствие чего суставные поверхности перестают соприкасаться (соответствовать норме).
- Разрыв или растяжение связок – на снимке будет визуализироваться увеличение щели между костями, образующими сустав колена.
- Повреждение (смещение) коленной чашечки, при котором иногда диагностируется ее сухожилие, особенно если оно склерозировано (уплотнено) или аппаратура довольно мощная.
Разрывы связок или менисков одни из наиболее частых повреждений коленного сустава. В отдельных случаях рентген используется при поиске инородных тел в области колена, но это применяется очень редко, так как возможно выявить лишь плотные рентгеноконтрастные предметы.
Патологические процессы
Также, обследуя колени при помощи рентгена, врачи без особого труда диагностируют наличие в них структурно-дегенеративных процессов, зачастую причиняющих выраженный дискомфорт пациентам.
К ним относятся:
- Артроз – истончение хряща, приводящее к разрастанию кости по краям и ее уплотнению. При последней стадии артроза (анкилозе) сустав теряет подвижность из-за костного или хрящевого сращения.
- Артрит – расширение сустава, происходящее в результате воспалительного процесса, вызванного выпотом. Для диагностирования этой патологии часто достаточно УЗИ или обычного осмотра, но иногда приходится прибегать к рентгену.
- Остеопороз – изменение костной структуры, кость теряет кальций и становится более прозрачной на снимке. Зато края кости уплотняются, и на рентгене выглядят ярче и лучше очерченными.
- Остеомиелит, характеризующийся наличием участков остеопороза, очаговых разрушений костной ткани, наслоений вокруг них, и в отдельных случаях образованием секвестров (участков омертвевших тканей).
Патологии коленного сустава, которые можно диагностировать рентгенологическим методом
С применением рентгеновских лучей легко определяются новообразования костей, хрящей и прилежащих к ним мягких тканей. Различают опухоли как местного характера, так и метастатического. Например, синовиома – онкологический процесс, возникающий во влагалищных сухожилиях суставов, и она может быть и доброкачественной и злокачественной, а для последней излюбленные места локализации – коленный сустав.
Используя рентген, можно диагностировать остеофиты и кисты костей. Первые получаются в результате разрастания кости и изменения ее формы с выходом отростков по бокам сустава. Кисты просматриваются на снимках как светлые почти круглые пятна.
Редкие патологии коленей, диагностируемые рентгеном
Рентген иногда помогает выявить довольно редкие заболевания, такие как болезнь Кенинга (остеохондропатия коленного сустава) или болезнь Остуда-Шлаттера (бугристость большеберцовой кости). Первая патология характеризуется некротизированием и отделением от кости прилежащей к суставу костной части. Формируется суставная мышь (плавающий осколок кости).
Так как причины возникновения таких осколков могут быть разные и сами мыши имеют свои особенности, то к рентгену обычно добавляются и другие методы обследования. При заболевании Остуда-Шлаттера края большеберцовой бугристости становятся неровными, теряют четкие границы, и через определенное время она приходит во фрагментарное состояние.
Техника проведения
Для качественного отображения коленного сустава необходимо соблюдать требуемое положение и не двигаться. Методика выполнения:
- Пациента просят убрать все металлические предметы с области коленного сустава (замки, молнии) и лечь на специальный стол,
- Если надеты толстые штаны – их попросят закатать выше колена. Это делается для того, чтобы доктор смогу увидеть сустав и поставить конечность в правильную позицию,
- Затем врач настроит аппарат и придаст вашей ноге необходимое положение для проведения снимка, попросит не двигаться и перейдёт в специальный кабинет,
- Осуществляя связь по микрофону, рентгенолог через несколько секунд сообщит вам об окончании процедуры.
Обычно для диагностики многих заболеваний коленного сустава достаточно снимка в прямой проекции. При необходимости – делается изображение в профиль.
Рентгенологическое исследование – давний, но информативный метод диагностики, пользующийся популярностью и в современной медицине. При помощи рентгена коленного сустава определяют заболевания, разрушающие как сам сустав, так и костные элементы. Несмотря на информативность при проведении пациент получает минимальную дозу облучения, поэтому рентген необходимо делать не чаще, чем 1 раз в 6 месяцев.


















































