Формы заболевания
Хорея Хантингтона или huntington disease имеет две формы:
- Ювенильная;
- Зрелая.
Юношеская форма появляется у лиц до 20 лет. Выраженность симптомов зависит от количества повторов азотистых оснований в мутированном гене. При количестве более 60% развивается болезнь. А при слишком большом количестве формируется ранний тип заболевания. Он классифицируется как ювенильный, акинетически-ригидный и type Вестфаль.
Зрелая форма характеризуется медленным нарастанием симптомов. Болезнь начинается в возрасте 30-50 лет. За 13-15 лет она приводит пациента к смерти.

Хорея Гентингтона имеет две стадии:
- Начальная;
- Развитая.
Первые симптомы – это потеря контроля над движениями. Во-первых, руки двигаются хаотично. Жесты бесконтрольны и вычурны. Во-вторых, присоединяется шаткость походки. Отсутствуют нормальные движения глаз.
Тем временем в последней стадии включаются дефекты гормонов. Это и остеопороз, и атрофия яичек, и сахарный диабет. Мышцы становятся дряблыми. Смерть наступает от болезни сердца или тяжелой пневмонии.
Стадии развития и характерная симптоматика
По характеру течения бутылочный кариес ничем не отличается от кариозных поражений, которые встречаются во взрослом возрасте. Скорость распространения патологии в каждом случае индивидуальна, но с полной уверенностью можно сказать одно – у детей болезнь развивается в разы быстрее. Итак, рассмотрим основные стадии развития патологии и характерные для них симптомы.
1. Начальная стадия
На эмали проступают меловидные пятна, а поражение пока распространяется только на верхний слой эмали
К сожалению, на этой стадии родители редко акцентируют внимание на еле заметных пятнышках на зубах у своих детей, а потому чаще всего не обращаются за стоматологической помощью, хотя в этом случае решить проблему можно курсом фторирования и реминерализации

На начальной стадии проблему можно решить курсом фторирования
2. Поверхностный кариес
Происходит формирование кариозной полости, но пока в пределах эмалевого слоя, то есть не затрагивая дентин. Также отмечается изменение окраса эмали, которая сначала становится желтоватой, а затем на ней проступает коричневое пятно. Маленький пациент может начать жаловаться на повышенную чувствительность, особенно при потреблении горячей или холодной пищи.

Так выглядит поверхностный кариес
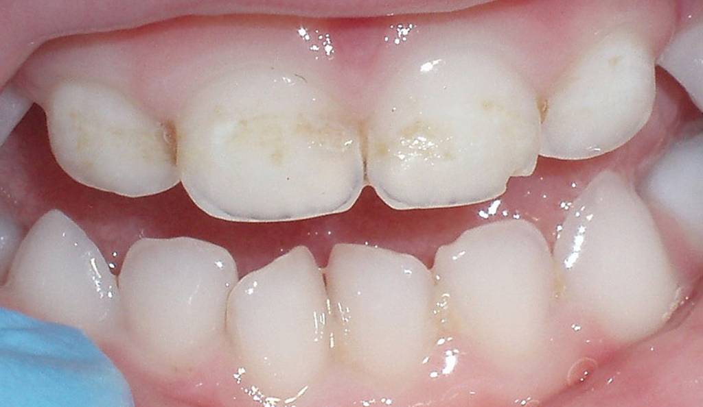
3. Срединный кариес
Именно на этом этапе взволнованные родители обычно показывают ребенка стоматологу. В зубе образуется достаточно большая полость, а поражение распространяется уже и на дентин. Возникают неприятные болезненные ощущения при контакте с причинным зубом. Если речь идет о совсем еще малыше, который пока не может словами выразить свои ощущения, то он будет показывать дискомфорт через поведение – дети обычно становятся капризными, отказываются от приема пищи.

На фото показан средний кариес
4. Глубокое поражение
Запущенная форма болезни характеризуется образованием большой и достаточно глубокой полости, возникает острая боль при механическом контакте с проблемной областью. Можно заметить, что малыш старается жевать только на одной стороне, чтобы избежать резкого проявления болезненности. У детей эта стадия очень быстро переходит в пульпит – поражение нервно-сосудистого пучка.

Так выглядит глубокий кариес
Профилактика детского кариеса

Профилактикой кариеса нужно заниматься с первых лет жизни ребенка. А лучше всего – сразу после зачатия. Беременной следует отказаться от вредных привычек, полноценно питаться, больше бывать на свежем воздухе
Важно употреблять продукты, богатые кальцием (творог, орехи, зелень).
Бутылочный кариес молочных зубов можно предотвратить, если после каждого кормления протирать десны ребенка марлей или специальной салфеткой
Необходимо регулярно стерилизовать бутылочки и соски.
С раннего возраста ребенка нужно знакомить с правилами гигиены
Самая первая щетка в жизни малыша – это напальчник, который мама или папа надевает на указательный палец и осторожно очищает от налета недавно прорезавшиеся зубы
Когда зубов в полости рта станет много, нужно приобрести детскую щетку с красочным оформлением, чтобы привлекать внимание ребенка. Годовалый ребенок не в состоянии справиться с чисткой зубов, поэтому делать это должны родители
После полутора лет нужно постепенно приучать малыша к самостоятельному выполнению процедуры, но под бдительным контролем взрослых
В возрасте 4–5 лет ребенок готов к знакомству с правилами использования флосса и ирригатора.
Выбор детской пасты играет большую роль в профилактике кариеса молочных зубов. В гигиенических средствах содержится фтор, отвечающий за способность эмали противостоять воздействию микробов. Потребность детского организма в этом элементе ниже, чем взрослого, поэтому обычные пасты для чистки зубов ребенку не подойдут. До 2–3 лет нужно покупать пасты без фтора. Когда малыш научиться сплевывать пену во время чистки, можно начинать пользоваться фторсодержащими средствами. Отдавайте предпочтение пастам с указанием на упаковке возраста, для которого они предназначены.
Некоторые врачи при возникновении первых признаков кариеса предлагают провести местное фторирование. Эту процедуру можно делать для молочных и постоянных зубов. Насыщение эмали минералами с помощью аппликаций и гелей предотвращает кариес и помогает лечить заболевание на стадии пятна.
В качестве антибактериального средства можно делать травяные отвары для полоскания рта после приема пищи.
Чтобы избежать развития кариеса у ребенка, родителям следует регулярно осматривать полость рта малыша и водить его к стоматологу не реже, чем раз в полгода. Не стоит забывать, что в детском возрасте процесс разрушения дентина протекает очень интенсивно.
Если не лечить кариес, который начал проявляться в годовалом возрасте, то до 3–4 лет ребенок может потерять все зубы.
Если вы ещё сомневаетесь, стоит ли лечить ребёнку молочные зубы, которые «всё равно выпадут», советуем посмотреть полезное видео:
Методы лечения кариеса молочных зубов
Методики, применяемые при лечении кариеса у детей, зависят от типа зуба (молочные или постоянные) и стадии заболевания. Выбор необходимого способа лечения осуществляет лечащий врач, так как только он, проведя диагностику, может определить, насколько сильно повреждены твердые ткани зубов.
Лечение кариеса молочных зубов имеет определенные трудности, связанные с боязнью детей стоматологических процедур. Поэтому если стадия развития заболевания позволяет применить неинвазивные методы, то выбирают именно их.
Неинвазивные методы лечения
Начальный и поверхностный кариес молочных зубов у детей раннего возраста лечат при помощи реминерализующей терапии, фторирования, озонотерапии и серебрения.
Реминерализующая терапия является одним из наиболее распространённых методов лечения кариеса у детей. В ее основе лежит искусственное насыщение эмали магнием, кальцием, фосфором и другими минералами. После безболезненной процедуры на твердых тканях пропадают цветовые пятна, эмаль зуба становится блестящей и крепкой, способной противостоять разрушающему воздействию болезнетворных микроорганизмов.

Фторирование применяется, когда кариес молочного зуба вызван недостатком фтора в эмали, что проявляется в виде образования белых пятен на ней. Наноситься лекарственный препарат непосредственно на места, где присутствуют цветовые отклонения твердых тканей
Процедура проводится с особой осторожностью, так как попадание активных веществ на слизистую может привести к химическому ожогу. Поэтому устранять кариес молочных зубов этим способом рекомендуется детям старше шести лет
При помощи озонотерапии можно лечить кариес временных зубов у детей любого возраста, так как для уничтожения кариозных бактерий не используют лекарственные средства. Метод основан на применении озона, который пагубно влияет на микроорганизмы, благодаря своим окислительным свойствам.
Процедура предусматривает кратковременную (10-20 секунд) подачу под давлением озона на пораженные участки ротовой полости. Для того чтобы не повредить слизистую, используются специальные наконечники, имеющие сверхтонкие выходные отверстия. Процедура абсолютно безболезненна.
В недостаточно оснащенных клиниках кариес временных зубов у детей до 3-4 лет лечат при помощи серебрения. Такой метод предусматривает нанесение раствора фтора и нитрата серебра на пораженные участки. Серебро уничтожает болезнетворные бактерии, а фтор восстанавливает эмаль в месте ее разрушения. Метод безболезнен и не требует много времени.

Пломбирование молочных зубов
Если кариес молочных зубов достиг средней или глубокой стадии, то его лечат только пломбированием. Процедура проводиться стандартно. Вначале удаляется пораженная твердая ткань и промывается дезинфицирующими препаратами образовавшаяся полость. Затем отверстие заделывают пломбировочным материалом. На последней стадии выступающие части пломбы шлифуются и идеально подгоняются.
Существует ряд особенностей пломбирования молочных зубов, связанных со строением самого моляра, а также возрастом пациента. Во-первых, удаление поврежденных тканей проводиться либо вручную, либо на малых оборотах бормашины, так как эмаль у молочных моляров находится на стадии формирования и легко разрушается. Кроме того, ручное удаление тканей используется, чтобы лишний раз не пугать ребенка работающей бормашиной.
Во-вторых, твердость пломбировочного материала должна быть ниже, чем у эмали. Связано это с тем, что у детей твердые ткани зуба имеют свойство стираться и если пломба будет тверже, то со временем она начнет выступать за края моляра. Это может вызвать повреждение слизистой оболочки ротовой полости.

В-третьих, используют пломбировочный материал, обогащённый фтором и кальцием для укрепления твердых тканей зуба. Для психологического спокойствия детей могут применяться разноцветные пломбы. Пломбировочный материал должен наносится за один раз с целью уменьшения времени стоматологической процедуры.
Симптомы заболевания
Бутылочный кариес имеет множественный характер – охватывает большую часть зубов. Но сначала он появляется на верхних четырех резцах. Это связано с тем, что при захвате соски язык покрывает нижний ряд, а верхний остается открытым и непосредственно контактирует с пищей. Поэтому на резцах быстрее скапливается налет.
Кариозный процесс «стартует» в области зубной шейки, где самая низкая степень минерализации эмали. Затем распространяется циркулярно, то есть по всему периметру зубной коронки.
Из-за того, что эмаль молочных зубов тонкая и пористая, бутылочный кариес быстро прогрессирует от стадии пятна до глубокой «дырки».
Сначала у малыша возникает чувствительность к холодной, горячей и кислой пище. Затем острая зубная боль, если чем-либо затронуть кариозную полость. Ребенок отказывается от еды, плохо спит.

Развитие бутылочного кариеса
Диагностика
Обнаружить кариес у ребёнка можно разными способами, всё зависит от опытности врача и наличия оборудования в стоматологической клинике. Так, родителям, как правило, предлагают следующее:
- стандартный осмотр ротовой полости с использованием стоматологического зонда и зеркала;
- рентгенологический снимок — позволяет осмотреть и выявить кариозный процесс на одном и более зубах, а при использовании прогрессивного оборудования можно сделать панораму рядов;
- трансиллюминация — диагностика заключается в просвечивании зубов фотополимеризационными лампами;
- лазерное обследование — направленный луч, отражаясь от поражённого участка эмали зуба, изменяет стандартные характеристики пучка;
- электроодонтометрия — использование электрического тока слабой силы, позволяющего установить наличие или отсутствие болевого симптома;
- витальное окрашивание — нанесение на зубную эмаль синего метиленового красителя (2%), который при попадании на поражённый участок окрашивает его в синий цвет;
- высушивание — рекомендовано для диагностики заболевания в начальной стадии;
- люминесцентная стоматокопсия — диагностика при помощи ультрафиолетового излучения (выполняется в затемнённом помещении посредством светодиодного детектора), когда здоровые участки зубов отсвечивают синим цветом, а повреждённые темнеют.
В зависимости от выбранного способа диагностики врач сможет чётко обозначить схему лечения и продолжительность терапии.
Дифференциальная диагностика
Очень важно поставить правильный диагноз, ведь кариес имеет схожую симптоматику с другими стоматологическими заболевания. Для этого врач проводит дифференциацию
Параметры, позволяющие отличить кариес от гипоплазии и флюороза — таблица
| Симптом | Флюороз | Кариес | Гипоплазия |
| Когда появился симптом | До появления первого зуба у ребёнка. | После появления первого зуба. | До прорезывания первого зуба. |
| Характер поражения зубов | В большинстве случаев заболеванию подвержены зубы постоянного прикуса, на молочных практически не диагностируется. | Зубы молочного и постоянного прикуса одинаково подвержены заболеванию. | В большинстве случаев заболеванию подвержены зубы постоянного прикуса, на молочных практически не диагностируется. |
| Расположение пятен | Появляется на вестибулярной и язычной поверхностях зубов. | Возникает на контактных шейках зубов (фиссуры). | Появляется на вестибулярной поверхности зубов. |
| Количество пятен на одном зубе | Множественные пятна на одном зубе. | Единичные. | В большинстве единичные. |
| Как выглядит поражение | Размер пятна небольшой. Цвет белый, желтоватый или тёмно-коричневый. Пятна имеют однотипные очертания на симметрично расположенных зубах (вдоль всей поверхности зубной коронки). | Пятно имеет однотонный цвет, зачастую белый, но после меняется на жёлтый или коричневый. | Пятна небольшого размера, с размазанными границами. При формировании в одно время на разных зубах имеют одинаковый диаметр. |
| Проникновение красящего вещества | Способность к проникновению не увеличивается. | Способность к проникновению увеличивается. | Способность к проникновению не увеличивается. |
| Содержание фтора в воде | Показатель превышает норму. | Показатель остаётся в норме или превышает её. | Не имеет значения. |
| Профилактические меры | Ограничение приёма пищи и воды, в которых содержится большое количество фтора | Фторирование воды и молока, контроль регулярности выполнения гигиенических процедур. | Своевременное лечение и профилактика заболеваний системного характера, которые сопровождаются дисфункцией обменных процессов у новорождённых детей. |
| Способы лечения |
|
|
|
Факторы, приводящие к развитию болезни
Мы уже определили главную причину развития патологии, а именно частое кормление ребенка сладкими смесями перед сном, однако это далеко не единственный фактор, способный спровоцировать проблему. Рассмотрим другие возможные причины, которые также могут привести к кариесу в детском возрасте.
1. Ослабленный иммунный статус
На фоне резкого снижения защитных сил организма могут прийти в действие различные патологические процессы. Так, именно этот фактор нередко становится спусковым крючком для кариеса, и тогда детский организм не может в полной мере противостоять влиянию болезнетворных бактерий в полости рта. Это приводит к быстрому развитию кариозных поражений и, соответственно, разрушению зубных тканей.
2. Слабая гигиена ротовой полости
Начинать заботиться о здоровье полости рта малыша нужно с самых ранних лет, еще до момента прорезывания молочных единиц. На этот случай специалисты рекомендуют использовать специальные салфетки-напальчники, с помощью которых можно бережно и эффективно очищать слизистую полости рта от остатков питательной смести. Как только у ребенка появится первый зубик, нужно отправляться к стоматологу, чтобы тот оценил, насколько правильно происходит формирование челюстной системы и нет ли каких-то скрытых проблем. Далее в задачи родителей входит приучить свое чадо к регулярной чистке дважды в день, а также к полосканию рта после еды. В противном случае слабая гигиена ротовой полости неизбежно отразится на здоровье твердых тканей и может спровоцировать их постепенное разрушение.

На фото показана гигиена полости рта у младенца с помощью специальной салфетки
3. Неправильное питание
Главным врагом здоровья полости рта является сахар. Чрезмерное потребление продуктов с высоким содержанием углеводов и сахаров приводит к развитию кариозных процессов, и в зону повышенного риска попадают именно дети – главные сладкоежки, зубки которых крайне подвержены поражению вредоносными бактериями. Если вы хотите уберечь свое чадо от стоматологических проблем, ограничьте его в сладостях и газированных напитках.
Сладости плохо влияют на состояние зубов
4. Кормление в ночное время
Как уже отмечалось выше, кормление малыша непосредственно перед сном – не самая лучшая идея. В это время суток слюна становится более вязкой, а интенсивность ее выработки снижается, что не дает ей в полной мере омывать полость рта. Получается, когда вы кормите ребенка сладкой смесью перед сном, остатки питания оседают на слизистой и остаются там на все время, пока малыш спит. Болезнетворные микроорганизмы быстро размножаются и приводят к развитию кариеса. К слову, при грудном вскармливании таких проблем не возникает – когда малыш правильно захватывает ртом сосок, его зубки никак не контактируют с молоком, и оно не остается надолго в полости рта.
5. Стоматологические болезни у родителей
Проблемы стоматологического характера у матери неизбежно отражаются на здоровье полости рта малыша. И дело здесь даже не в генетике. Когда мама не соблюдает элементарные правила гигиены в отношении ребенка, то есть усыпает его поцелуями, пробует питание сначала сама, после чего передает ложку своему чаду или облизывает соску, случайно упавшую на пол, а затем отдает ее обратно младенцу – все это приводит к передачи бактерий через слюну и дальнейшему развитию кариеса у малыша.

Родители передают детям бактерии через слюну
Доктор Комаровский о детском кариесе молочных зубов

Многие родители не обращают внимание на появление дефектов эмали молочного зуба считая, что временные зубы не нуждаются в лечении. Проявлять беспокойство они начинают только тогда, когда очаг разрушения затрагивает более глубокие слои и ребёнок чувствует боль
Проявлять беспокойство они начинают только тогда, когда очаг разрушения затрагивает более глубокие слои и ребёнок чувствует боль.
Важно понимать, что даже молочные зубы, которые сменятся постоянными, требуют должного ухода и лечения. Ведь невылеченный кариес, особенно если он имеет склонность к быстрому прогрессированию, приведёт к появлению проблем с полостью рта в будущем
И эти проблемы являются весьма неприятными.
Начиная с того, что у ребёнка может развиваться поражение постоянных зубов, которые придут на смену молочным. При отсутствии терапии нарушается правильный прикус, а в тяжёлых случаях это может повлечь за собой нарушения развития речи.
Малыш с больными зубами не может нормально пережёвывать пищу, что является частой причиной расстройств органов пищеварительной системы. Не следует забывать и о том, что кариес — источник постоянной инфекции в организме, а наличие инфекции неуклонно приводит к снижению иммунитета, частым вирусным заболеваниям, в результате это отрицательно сказывается на общем развитии ребёнка.
Лечение кариеса зубов у детей
Из этого материала вы узнаете о том,как правильно организовать лечение кариеса у детей,что такое глубокий,молочный и пришеечный типы кариеса.Кариесом зубов называют болезнь твердых тканей зуба. Ее вызывают микроорганизмы, что попадают на зуб при прорезывании зуба, либо спустя некоторое время.Сейчас кариес у детей обнаруживается все чаще. Лечение глубокого кариеса в кресле стоматолога — процедура неприятная, особенно для ребенка
Важно проводить профилактические действия, и обращать внимание на первые признаки кариеса, чтоб не запускать процесс и избежать лечение зубов в столь нелюбимом маленькими детишками кабинете детского зубного врача
Молочные зубы кариес поражает у детей 24-36 месяцев, хотя у годовалых малышей тоже бывают проблемы. В большинстве случаев молочный кариес поражает верхние молочные резцы, либо коренные зубки. Причины: неправильно развиты ткани зуба в полости рта (проблема возникает во внутриутробном периоде), различные болезни у матери (вирусные инфекции, гипертония, ревматизм).
Если вы обнаружили признаки молочного кариеса у ребёнка,для начала нужно перестать давать малышу пищу в которой есть сахар, вечером и ночью, та же ситуация с кислыми соками. Малыш должен наблюдаться у педиатра — как известно, цветущий кариес зубов (поражение двух и более типов зубов) может свидетельствовать о плохом иммунитете ребенка.
Кариес зубов у детей условно разделяют на четыре типа, в зависимости от расположения пораженных участков зуба и признаков заболевания. Лечение того или иного типа кариеса имеет свои отличия.
При начальном кариесе у детей на эмали зубов возникают беловатые пятна разные по площади, болевых ощущений нет. Со временем, при отсутствии должного лечения, пятна на зубах становятся темными ( светло- или темно-коричневого оттенка ), позже чернеют. Но если с лечением молочного или пришеечного кариеса не тянуть, от заболевания можно быстро избавиться.
Если ткани зуба поражаются лишь снаружи, значит у ребенка поверхностный кариес. Образуется кариозная впадина, темная или совсем светлая. При поедании соленых, кислых и сладких продуктов малыш чувствует легкую боль.
Средний кариес зубов распространяется на эмаль и в некоторых местах дентин молочных зубов. Теперь сильную боль вызывает не только соленое и сладкое, съесть что-то горячее либо холодное тоже проблематично.
При глубоком кариесе зубов микроорганизмы распространяются на поверхность зубов и более чем 60% дентина. Лечение данной стадии кариеса у детей очень проблематично, редко удается избежать осложнений, а постоянные боли делают малыша нервным, плаксивым, к тому же он не хочет употреблять еду.
Бывает еще пришеечный кариес зубов, который поражает лишь край зуба, возле десны. Он появляется из-за тяжелого доступа к этому участку при чистке зубов и тонкого слоя зубной эмали в данной области.
Следите за состоянием зубов ребенка и устраняйте заболевание на ранней стадии.
Чтобы лечение кариеса зубов у вашего ребенка избежать вовсе,важно соблюдать гигиену полости рта,придерживаться рациона питания с содержанием витаминов и микроэлементов в продуктах и регулярно наведываться к детскому стоматологу. Ниже вы найдете более подробную информацию о современном лечении кариеса у детей,а также о профилактике,чтобы избежать появления глубокого кариеса зубов (см
фото кариеса зубов до и после лечения ниже). Вы также узнаете,как правильно лечить молочный и пришеечный кариес.
Теперь вы знаете,какая профилактика необходима для зубов ребенка,чтобы избежать появление глубокого кариеса. Вы также узнали,как лечить молочный или пришеечный кариес и какая профилактика пришеечного кариеса наиболее эффективна.
Виды кариозного поражения временных зубов
Всего существует четыре вида кариеса молочных зубов.
Бутылочный

Форма, наиболее характерная для детей 1–3 лет. Основной причиной развития патологии считается нарушение режима питания (частые ночные кормления, привычка к пустышкам и бутылочкам).
В состав материнского молока или детской смеси входит большое количество сахара — излюбленного лакомства для болезнетворных микроорганизмов. И если ребёнок не может отказаться от ночных кормлений, вероятность развития патологии увеличивается, ведь после такого приёма пищи малыш сразу засыпает, не почистив зубы, а бактерии, питаясь остатками молока, активно размножаются.
Циркулярный
Такая разновидность патологии считается наиболее опасной, так как приводит к быстрому разрушению тканей зуба, повреждению нервных окончаний, расположенных в мягких участках. Изначально дефекты появляются в пришеечной области, быстро распространяются на более глубокие участки. При этом эмаль на ранних этапах имеет незначительные повреждения, но, по мере развития кариозного процесса, она начинает откалываться большими кусками, обнажая больные участки.
Внимание! Циркулярный кариес чаще повреждает передние молочные зубы, приводя к их полному разрушению. Заболевание требует сложного и длительного лечения
Цветущий
Для этой формы характерно острое и интенсивное развитие, выраженная клиническая картина. Цветущий кариес считается декомпенсированной формой патологии, при которой деструктивные процессы происходят значительно быстрее, чем регенерация.

Фото 3. Цветущий кариес молочных зубов — тяжелая форма патологии. Результатом могут стать опасные осложнения.
Стадии развития патологии (от начального до глубокого кариеса) протекают быстро, и в течение короткого промежутка времени у ребёнка образуются глубокие повреждения и развиваются опасные осложнения.
Осторожно! В течении нескольких недель цветущий кариес может привести к необходимости удаления больного зуба. Часто патология носит множественный характер
Пришеечный
Для такой формы характерно формирование кариозной полости у основания зуба (участок, где коронка прилегает к десне). Пришеечный кариес образуется как осложнение заболеваний дёсен, когда в полости рта формируются десневые карманы. В них накапливаются бактерии, которые выделяют агрессивные вещества, разрушающие эмаль, а затем и более глубокие участки. Коронковая часть зуба не теряет свою целостность, однако, наличие глубоких повреждений в пришеечной зоне со временем может привести к появлению сколов, отделению больших кусков эмали и дентина.
Особенности кариеса на передних зубах у детей

Чаще всего кариес поражает именно область передних молочных зубов. Это связано с особенностями их строения, повышенной нагрузкой (используются для откусывания кусочков пищи).
Передние зубы имеют более тонкую эмаль и дентин, особенно в придесневой области. Поэтому повреждения, характерные для кариеса, образуются в первую очередь на этих участках.
Другой особенностью этой формы является интенсивное развитие кариозного поражения. Изначально ребёнок может не ощущать какого-либо дискомфорта, но по мере развития заболевания, эмаль начинает откалываться, открывая глубокие кариозные каналы.
Внимание! Часто дефекты возникают на боковых стенках зубов. В связи с особенностями строения этого участка зубного ряда, остатки пищи застревают между соседними передними зубами, при этом их очень сложно удалить
Это является предпосылкой для развития патологии.
Причины кариеса у детей

Кариес молочных зубов может носить инфекционный либо дистрофический характер. Другими словами, проблемы связаны с действием кариесогенных микроорганизмов или с нарушением структуры несформированных зубов.
Кариес у детей появляется по следующим причинам:
Патологические изменения в структуре при закладке зубов происходят в первом триместре беременности
Первые месяцы беременности – очень важное время, к которому женщина должна подойти со всей ответственностью. На состояние несформированных зубов ребенка могут повлиять перенесенные матерью вирусные и инфекционные заболевания, курение, стрессы, неправильное питание, употребление лекарственных средств, тяжело протекающий токсикоз
Также риск для здоровья малыша возрастает, если беременная женщина страдает ревматизмом, гипертонией, нарушениями работы эндокринной системы.
Перенесенные ребенком в первые месяцы жизни инфекционные и вирусные заболевания.
Рахит и недоношенность также пагубно влияют на структуру несформированных зубов.
Генетическая предрасположенность. Если одного или обоих родителей беспокоят постоянные проблемы с полостью рта, то существует вероятность, что зубы ребенка также будут подвержены кариесу.
Неправильный прикус у малыша.
Большое количество мягкой углеводной пищи и сладостей. Остатки продуктов, застревающие в щелях, создают среду для размножения кариесогенных бактерий. При этом органические кислоты, содержащиеся в налете, легко разрушают тонкую эмаль. Детский кариес развивается стремительно, и зачастую патологический процесс разрушения наблюдается на нескольких соседних зубах и даже на всем ряде.
Перетертая пища, которой кормят ребенка до 2 лет, также негативно сказывается на здоровье временных зубов. Если малыш не употребляет твердую пищу, то у него не вырабатывается нужное количество слюны для борьбы с бактериями и микробами.
Из-за пренебрежения правилами гигиены при грудном и искусственном вскармливании развивается бутылочный кариес молочных зубов. Такое заболевание возникает у детей, привыкших засыпать с бутылочкой молока, смеси или сока. Многие женщины смазывают соски сладким сиропом, чтобы ребенок охотнее брал грудь. В будущем эта уловка оборачивается против здоровья малыша. Бутылочный кариес начинает поражать зубы детей в возрасте 2–4 лет.
Недостаточное количество в рационе ребенка продуктов, содержащих фтор, фосфор и кальций приводит к деминерализации, а затем и к кариозному разрушению временных и постоянных зубов.
Некоторые родители пренебрегают правилами гигиены и вовремя не прививают их малышу. Беспечное отношение взрослых к состоянию молочных зубов своего чада может привести к развитию не только кариеса, но и таких заболеваний, как периодонтит, пародонтит, гингивит, представляющих серьезную угрозу для здоровья ребенка.
Поэтому, дабы сохранить детские зубки красивыми и здоровыми, запоминаем главные правила: уже с момента появления первых зубов…
- Регулярно осуществляем гигиену полости рта. Чистить зубы и полость рта 2-3 раза в день (в идеале – после каждого приема пищи) – обязательно! Особенно важен вечерний сеанс чистки, чтобы ночь бактерии не пировали во рту ребенка на остатках пищи.
- С умом подходим к вопросу чистки зубов. Купить красивую щеточку и отдать ее ребенку играться – это малоэффективный метод чистки. Читайте литературу, просвещайте, слушайте стоматологов, изучайте технику чистки зубов. Вам пригодится щетка-напальчник, детская первая щетка, специальные стоматологические салфетки для очищения полости рта.
- Регулярно возите ребенка на прием к стоматологу. Во-первых, чтобы ребенок привыкал к этому врачу и не боялся его. Во-вторых, чтобы при малейших симптомах кариеса оперативно с ним бороться. Вы можете просто не заметить того, что всегда заметит стоматолог.
- Кормите/поите ребенка правильно. Полноценный рацион крайне важен для всего организма малыша в целом и для зубов в частности. Особенно важна пища, богатая кальцием. Это молочные продукты, зелень, хурма и курага, и проч.
- Не кушаем по ночам! Отучайте ребенка от этой привычки, иначе у стоматолога через несколько лет вы будете оставлять половину своей зарплаты, а то и всю. Максимум – попить воды. Причем, попить и спать дальше, а не заснуть с бутылкой воды или с поильником.
- Используйте методы защиты зубов от развития кариеса из тех, что предлагает стоматолог (прим. – нанесение специальных препаратов на эмаль зубов).
- Ограничивайте употребление сладостей.
- Жуйте пчелиный забрус (прим. – остаток от «крышек», которыми пчелы запечатывают соты). Забрус – идеальный продукт для профилактики различных заболеваний полости рта. Поели, пожевали забрус, выплюнули.
- Принимаем препараты с кальцием по рекомендации врача и в соответствии с индивидуальной дозировкой.
- После полугода отказываемся от бутылки полностью во избежание того самого бутылочного кариеса – учимся пить с чайной ложки, с чашки, через соломинку.
Следим, чтобы родительские (и бабушкины-дедушкины) бактерии не гастролировали из взрослых ртов – в детские. Соски – кипятить, а не облизывать. То же самое – с ложками для ребенка.
Интенсивность поцелуев, которые могут способствовать переселению ваших бактерий к ребенку, тоже лучше снизить.
Эта статья ни в коей мере не заменит отношения между врачом и пациентом. Она носит информативный характер, и не является руководством для диагностики и самолечения.
Все представленные советы применяйте только после обследования и по рекомендации врача!















































