Ингаляции
Ларингит у детей (симптомы и лечение являются специфическими) успешно лечится с помощью ингаляций: паровых и проводимых с помощью небулайзера. Для паровых ингаляций необходимо подготовить соответствующий состав. Желательно для этих целей использовать травяной отвар, но можно и просто отварить картошку.
Самостоятельно пройти процедуры ингаляции сможет только ребёнок, который близок к школьному возрасту или уже ходит в школу. Если же речь идет о ребенке 2, 3, 4 лет, придется либо отказаться от этого варианта лечение, либо попробовать подышать над паром с ребёнком вместе, превратив процесс в игру.

Состав готовят так:
- Берут кастрюлю большого диаметра.
- Наливают в неё 1 л воды.
- Добавляют 3 ст.л. лекарственных трав, которые обычно используют для полоскания горла или тех, которые входят в грудной сбор, например ромашки, шалфея, эвкалипта.
- Жидкость доводят до кипения и кипятят в течение 2-3 минут.
- Ставят кастрюлю на пол или на стол, смотря как удобнее. Накрывают голову ребенка одеялом. Он должен вдыхать пар открытым ртом в течение 10-15 минут. С маленьким ребёнком можно провести процедуру в ванной комнате, не накрывая его одеялом.
Ингаляции с небулайзером
Преимущество небулайзеров в том, что он распыляет лекарственный раствор, образуя частички, взвешенные в воздухе, благодаря чему лекарство с потоком воздуха может проникнуть в самые труднодоступные участки дыхательных путей.
Раствором для Небулайзера может послужить:
- Преднизолон хлорид и раствор натрия 9-процентный — 0,5 мл + 2 мл, соответственно.
- Эуфиллин хлорид и раствор натрия 9-процентный — 0,5 мл + 2 мл, соответственно.
- Минеральная вода без газа.
Чем лечить
Тактика лечения зависит от формы и возбудителя – если заболевание вызвано вирусом, лечение будет одно, а если бактериями – совсем иное.
Ларингит у детей, как правило, вирусный, поэтому основное лечение, как считает доктор Комаровский, – это обильное теплое питье и чистый прохладный воздух оптимальной влажности (60-70%). Благодаря этому мокрота не будет собираться в сгустки и обрастать коркой, а слизистые оболочки – пересыхать.
Важно! При легких формах ларингита таких простых мер бывает достаточно для полного выздоровления – организм сам справится с инфекцией, нужно только обеспечить ему для этого хорошие условия. Для этого помимо обильного питья и чистого воздуха нужно соблюдать некоторые требования к режиму:

Для этого помимо обильного питья и чистого воздуха нужно соблюдать некоторые требования к режиму:
- В начале болезни нужно обеспечить ребенку покой и постельный режим, а в конце, когда мокрота начнет отхаркиваться и улучшится самочувствие, можно понемногу гулять на свежем воздухе.
- Необходимо исключить напряжение голосовых связок – ребенок должен как можно меньше говорить.
- Обеспечить щадящее, не раздражающее горло питание – пища не должна быть кислой, острой, твердой, слишком горячей или холодной.
Доктор Комаровский также говорит следующее о различных лечебных мероприятиях при ларингите:
- Нужно обеспечить горлу сухое тепло – для этого лучше всего повязать на шею шерстяной шарф.
- Ингаляции делаются только по согласованию с лечащим врачом. Ингаляции нельзя делать при повышенной температуре тела.
- Можно полоскать горло щелочными растворами (например, раствором соды), но не следует делать это слишком часто, так как полоскание создает вибрации, которые дополнительно раздражают гортань.
- Можно делать согревающие горчичные ванночки для ног.
Про ларингит доктор Комаровский рассказывает в своей видеошколе.
Препараты
Лечение медикаментами направлено на уменьшение проявлений симптомов заболевания, а также на облегчение общего состояния больного. При терапии доктор Комаровский рекомендует использовать следующие препараты:
- Жаропонижающие (если температура поднимается выше 38 градусов): ибупрофен, парацетамол.
- Антигистаминные (для снятия отека): фенистил, зиртек, зодак.
- От боли в горле: стрепсилс, фарингосепт.
- Отхаркивающие средства: лазолван, амбробене.
Осторожно! Антигистаминные и отхаркивающие средства не следует применять самостоятельно, без назначения врача. Именно доктор подберет то средство, которое подходит ребенку в соответствии с его возрастом и характером протекания болезни
А вот некоторые препараты доктор Комаровский оценивает как совершенно бесполезные при детском ларингите:
- Противовирусные препараты типа виферона, кипферона, разных препаратов иммуноглобулина: клиническая эффективность этих препаратов не доказана, такие лекарства являются пустой тратой денег. Врачи их часто назначают только для «очистки совести» – от этих лекарств не будет ни пользы, ни вреда.
- Гомеопатические средства: они также не принесут никакого эффекта – ни положительного, ни отрицательного; весь «эффект» от гомеопатии – это эффект плацебо.
- Про кортикостероидные противовоспалительные препараты типа пульмикорта доктор говорит следующее: они применяются при заболеваниях бронхов, а при ларингите их применение не оправдано.
Антибиотики

В подавляющем большинстве случаев ларингит у детей вызван вирусной инфекцией, поэтому антибиотики в этих случаях абсолютно бесполезны. Они не воздействуют на вирусы и продукты их жизнедеятельности.
Неоправданный прием антибиотиков создает ненужную нагрузку на и без того ослабленный болезнью организм.
Применение антибиотиков оправдано только в том случае, если врачом подтвержден бактериальный характер инфекции. Тогда врач назначает пенициллины, а если к ним имеется индивидуальная непереносимость – цефалоспорины и макролиды.
Причины возникновения
Появление у ребенка хронического ларингита обусловлено ослабленным иммунитетом и рядом внешних факторов: частые заболевания дыхательной системы, ОРВИ, грипп, проживание в неблагополучной экологической зоне, аллергии, пассивное курение, неправильный образ жизни матери во время беременности (несоблюдение диеты, курение, работа на вредных производствах). Возникновению заболевания способствуют и вдыхание лаков, красок, шерсти животных и пыли. Бывает и врожденная физиологическая предрасположенность к ларингиту ‑ зауженная гортань и/или носоглотка.
Лечение заболевания, как и в случае с острой формой, зависит от его разновидности.
Катаральная и гипертрофическая формы хронического ларингита требуют применения противовоспалительных препаратов, а для снятия отеков гортани применяются и дают совет принимать вяжущие средства. Иногда в соответствии с назначением врача необходимо орошать гортань ребенка стероидными аэрозолями в сочетании с антибактериальной терапией.
Атрофическая форма хронического ларингита лечится щелочно-кальциевыми и соленощелочными ингаляциями.
Симптомы и виды болезни
Воспаление гортани начинается остро, сразу появляется лающий кашель и изменяется голос. Если голосовые связки сильно воспалены, голос может пропасть совсем. Кашель сухой и интенсивный, дыхание частое и затрудненное, может наступить удушье.
Наиболее характерные признаки ларингита у детей:
- появляется насморк;
- сухой лающий кашель;
- горло становится красным, слизистая рыхлая, развивается отек гортани;
- в местах сильного воспаления появляется кровянистая слизь;
- голос становится осиплым и может пропасть вовсе;
- спазмы гортани вызывают приступы удушья;
- горло першит, во рту постоянно сушит;
- повышается температура, обычно не больше 380С;
- может болеть голова.
Сложнее всего распознать ларингит у грудных детей
Сказать они еще ничего не могут, поэтому мама должна обратить внимание на тревожные симптомы:
- ребенок становится беспокойным и капризным;
- из носа начинаются выделения;
- появляется сильный лающий кашель;
- плач ребенка сопровождается хрипами;
- в грудной клетке может прослушиваться свист;
- при затрудненном дыхании и кислородном голодании синеет носогубный треугольник.
Ларингит у детей может протекать в острой и хронической форме:
- при остром ларингите все симптомы ярко выражены, голосовые связки и гортань отекшие и воспаленные. Связки утолщаются, становятся красными и не могут полностью сомкнуться;
- хронический ларингит характерен постоянным першением в горле, осиплостью голоса и желанием откашляться, которое постепенно может перейти в привычку.
Ларингит классифицируют по видам в зависимости от этиологии и особенностей протекания:
- катаральный – самый распространенный вид ларингита у детей, наиболее безопасный. Развитие болезни сопровождается характерными симптомами: сухим лающим кашлем, першением в горле, осиплостью голоса и невысокой температурой. Причиной обычно являются вирусные инфекции или переохлаждение. К приступу удушья может привести только запущенная болезнь по причине отека гортани. Может пропадать голос, если болезнь не долечить до конца, острая форма переходит в хроническую;
- гипертрофический – вид болезни, который может способствовать развитию новообразований, как доброкачественных, так и злокачественных. Может перейти из других видов ларингита или развиться самостоятельно. Определяется обычно при осмотре гортани, характерные симптомы похожи на другие виды болезни, только температура повышается выше обычной для ларингита и постоянно ощущается ком в горле;
- геморрагический – особенностью этого вида является кровоточивость слизистой гортани, эта форма болезни развивается только при наличии определенных факторов: грипп, болезни органов кроветворения, сердечно – сосудистые заболевания. Характерные признаки – сухой кашель, выделение кровянистой слизи и постоянная сухость во рту;
- дифтерийный – инфекционное заболевание дифтерия при этом виде болезни переходит на гортань, возбудителем является палочка Лефлера;
- ларинготрахеит –воспаление гортани может поразить трахеи, этот вид ларингита характерен сильным сухим кашлем, першением в горле и царапаньем в груди;
- флегмозный – редкий вид ларингита, развивается как правило в виде осложнений после перенесенных инфекционных болезней, травм и снижения иммунитета. Заболевание протекает тяжело, с высокой температурой, с поражением стенок гортани. При глотании присутствует боль, увеличиваются лимфоузлы, может развиться приступ удушья;
- атрофический – у детей почти не встречается, возникает при воздействии токсинов на слизистую гортани и вызывает ее истончение.
В группе риска находятся маленькие дети с ослабленным иммунитетом, часто болеющие ОРВИ и бронхитами, дети – аллергики.
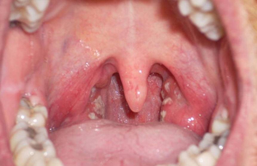
Фото горла при ларингите у детей:




Первая помощь в момент приступа
После диагностики врач обязательно даст клинические рекомендации по оказанию первой помощи в домашних условиях. Главная задача родителей – убрать ларингоспазм, устранить приступ кашля, удушье.
Для оказания первой помощи необходимо:
- посадить ребенка;
- освободить от стягивающей одежды;
- увлажнить воздух;
- дать теплую жидкость;
- при остановке дыхания проводить сердечно-легочную реанимацию.
Для быстрого увлажнения воздуха на кроваткой грудничка натягивают мокрую простыню. Можно усадить ребенка возле ванной, наполненной горячей водой. Вдыхание пара поможет устранить отек, восстановить проходимость дыхательных путей. Эффективен при удушье и свежий воздух – малыша нужно вывести на балкон. Из лекарственных средств при приступе используют ингаляции с Пульмикортом, если дома есть небулайер.
Для устранения кашля могут применяться препараты Гербион, АЦЦ, желательно в форме порошка, Синекод. Однако перед приемом любых медикаментов нужно выпить теплую жидкость, самый лучший вариант – травяной чай.
Формы и виды
Протекать ларингит может в 2-х формах — острой и хронической. При острой форме симптомы очевидны: покрасневшая слизистая, отечные голосовые связки, красные, достаточно утолщенные, не смыкающиеся до конца.
При хронической форме наблюдается зуд и першение. Голос сиплый, тембр меняется, ребенку все время хочется откашляться.
Также есть несколько видов болезни, так сказать разновидностей ларингита:
- катаральный — зуд, першение, признаки ОРВИ, потеря голоса;
- гипертрофический — отмечается гиперплазия слизистой гортани;

геморрагический — с кровоизлиянием в связки и слизистую гортани;
дифтерийный — инфекция с миндалин идет на гортань;
ларинготрахеит — воспаление распространяется и на трахею;
флегмонозный — редкая патология, в болезнь вовлечены и лимфоузлы, поражаются также мышечные связки и надхрящница.
У малышей 2-3 лет ларингит часто диагностируют вместе с ОРВИ, часто он обнаруживается попутно с трахеитом и бронхитом. Детки, страдающие аллергией, более склонны к ларингиту.
Чем лечить герпесную ангину у детей? Узнайте об этом из нашей статьи.
Симптомы детского ларингита

Ларингит у ребенка проявляется, как правило, внезапно специфическими и неспецифическими симптомами.
- Хрипота. Из-за сужения просвета гортани, частичного несмыкания голосовых связок изменяется тембр голоса малыша.
- Кашель. На начальном этапе заболевания у ребёнка он сухой, непродукивный, приступообразный. Он усиливается к вечеру и ночью, мешает больному спать, а иногда доходит до удушья. При правильном лечении через несколько дней мокрота постепенно начинает отделяться, малыш откашливается. Это изменение в характере кашля сигнализирует о начале выздоровления.
- Боль в горле. Она может быть разной интенсивности, от небольшого першения до нестерпимого жжения. Малыши 3-4 лет уже могут описать этот симптом. Родителям ребенка до года стоит насторожиться, если их малыш плачет и капризничает, особенно во время приема пищи (боль в горле при ларингите усиливается во время глотания).
- Повышение температуры. Обычно, она субфебрильная. Но воспаление гортани на фоне вируса может вызвать жар и в 39-40 ̊С.
- Одышка, цианоз. Вследствие сужения гортани у ребёнка может возникнуть дыхательная недостаточность.
- Расстройства общего самочувствия. У ребенка снижается аппетит, он становится вялым и капризным.
Причины
Развитие аллергического ларингита может быть спровоцировано различными аллергенами:
- пищевые: шоколад, клубника, орехи, цитрусы, мед, яйца;
- бытовые: пыль (пылевой клещ), шерсть животных, пух и перья;
- яд насекомых (укус осы, пчелы);
- пыльца;
- выхлопные газы;
- вредные выбросы (производство);
- химические вещества (бытовая химия, косметика, красители, ароматизаторы, консерванты);
- лекарственные препараты (антибиотики, сульфаниламиды, сыворотки, вакцины, гормональные препараты, анестетики, седативные средства).
Аллергическая реакция на различные компоненты наблюдается у многих людей, особенно в детском возрасте, но к аллергическому ларингиту это приводит не всегда. Существует несколько факторов риска, повышающих вероятность такого заболевания:
- ослабленный иммунитет;
- неправильное питание: отсутствие баланса, некачественная пища;
- хронические болезни, особенно поражение дыхательной системы;
- наследственная предрасположенность;
- вредные привычки;
- вредные условия труда;
- сильная запыленность, загазованность воздуха;
- продолжительное медикаментозное лечение,
- бесконтрольное применение лекарственных препаратов.
Советы доктора Комаровского при лечении детей
При возникновении симптомов приступа удушья до приезда скорой помощи и медиков известный педиатр Евгений Комаровский, как и другие медики, советует придерживаться следующего алгоритма действий.
- Обеспечить доступ к влажному и прохладному воздуху: открыть окна, вынести тепло одетого ребенка на балкон. Не надо бояться высокой температуры: задача номер один при крупе – восстановить полноценное дыхание.
- Если на улице жарко, облегчить состояние можно с помощью включенного кондиционера, а при его отсутствии – занести ребенка в ванную комнату и открыть прохладную воду. В маленьком помещении влажность очень быстро поднимется, а температура воздуха, наоборот, понизится, и это поможет ребенку дождаться медикаментозной помощи.
- Обязательно дать жаропонижающее (парацетамол или ибупрофен), в нос закапать сосудосуживающий препарат.
- По словам доктора Комаровского, вероятность возникновения крупа намного выше у детей с лишним весом, поэтому к профилактическим мерам следует отнести правильное питание и соблюдение диеты.
Общая характеристика заболевания
При любой форме ларингита наблюдается воспалительное поражение гортани – участка дыхательной системы и части голосового аппарата, соединяющей глотку и трахею. Клиническая картина заболевания тесно связана с анатомическими особенностями и функциями гортани.
Аллергический ларингит развивается под действием различных аллергенов, которые являются чужеродными микроорганизмами. Реакция иммунной системы на них приводит к выделению медиаторов воспаления. В результате развивается воспалительный процесс и сопутствующие ему изменения – отечность, гиперемия.

Аллергический ларингит является особой формой заболеваний, так как поражение гортани обычно бывает бактериальным, вирусным или грибковым. Болезнь снижает местный иммунитет, поэтому инфекция все же может присоединиться к воспалительному процессу, что чревато усугублением его клинических проявлений и развитием тяжелых осложнений.
При аллергическом ларингите слизистая оболочка гортани отекает, поэтому просвет органа сужается. В результате прохождение воздуха затрудняется, нарушая дыхание. Отек также отрицательно сказывается на голосе.
Возможные осложнения
Прогноз заболевания не всегда оказывается благоприятным. В некоторых случаях болезнь осложняется. Возникновение осложнения ларингитов происходит чаще всего из-за недопеченной болезни либо несоблюдения указаний врача.
Контакт с аллергенами может осложнить течение болезни. Поэтому необходимо чаще проводить уборку от пыли, исключить контакт с домашними животными и не употреблять в пищу еду, которая способна спровоцировать аллергическую реакцию.
Заболевание может осложниться и приобрести гнойную форму. Если своевременно не вылечить больного на этом этапе, то гной опустится ниже и попадет в бронхи.
Часто ларингит осложняется трахеитом, бронхитом или воспалением легких. Все эти заболевания должны лечиться в стационаре. Детям при таком осложнении назначаются антибиотики, а длительность лечения при этом увеличивается.
Опасным осложнением является ложный круп. Он возникает при ларингите различной этиологии. Больному становится трудно дышать, слизистая гортани сильно отекает. Вдох и выдох становятся длинными и тяжелыми с характерным свистом. Появляется грубый лающий кашель. Это состояние требует незамедлительной медицинской помощи, так как просвет гортани может сомкнуться, и это может привести даже к летальному исходу.
Истинный круп похож по симптомам на ложный, но является осложнением дифтерии.
Ослабление иммунитета приводит к частым заболеваниям острым ларингитом, и впоследствии патология приобретает хроническую форму.
Особенности течения патологии в грудном возрасте
Все начинается с обычного насморка, но с развитием заболевания может появиться кашель с удушьем. Такие приступы зачастую возникают ночью и развиваются буквально в течение пары часов. Для грудного ребенка это может закончиться трагически, поэтому при наличии первых признаков следует вызывать скорую помощь. Как правило, ночные приступы будят ребенка, он просыпается и не может вздохнуть, малышу страшно, он начинает плакать. При таком состоянии у ребенка западает яремная ямка на шее.
Признаки, которые должны насторожить: сильный насморк, появление синюшного оттенка губ и носа, капризность, вялость или беспокойность малыша, хрипы при крике, а также частое и тяжёлое дыхание с присвистом.
Степени развития патологии
Обычно ларингит развивается постепенно. Сначала появляется насморк, потом возникает боль в горле и появляется покашливание. Затем инфекция может распространиться ниже.
По типу течения ларингит подразделяют на несколько основных форм:
- Катаральный. Встречается чаще всего и является самым безобидным, но может развиться во что-то более опасное;
- Стенозирующий. Уменьшает просвет гортани, вызывая сложности с дыханием, может спровоцировать развитие крупа. Представляется опасность для грудничков и дошкольников, так как может вызывать приступы удушья;
- Флегмозонная. Редкая форма гнойного ларингита, которая развивается из катарального. При этом заболевании все симптомы усиливаются;
- Геморрагическая. Зачастую развивается при токсическом гриппе, либо если у пациента наблюдаются нарушения работы кроветворных органов. Начинается сухим кашлем, а когда он становится продуктивным, то в мокроте можно обнаружить частички крови;
- Дифтерийная. В этом случае воспаление переходит с миндалин в гортань. При этом слизистая покрывается белесым налетом, который может отслаиваться и мешать процессу дыхания. Иногда данный вид может развиться в истинный в круп;
- Атрофическая. Данная форма заболевания у грудничков практически не встречается. Основным признаком ее наличия считается истончение слизистых гортани;
- Гипертрофическая. Может появиться самостоятельно или как следующая стадия развития катарального ларингита. Наиболее характерный признак – осиплость голоса, вплоть до полной его потери.
По интенсивности течения ларингит бывает острым и хроническим. Острый развивается в течение короткого периода времени. Больной ощущает першение, появляется сухой кашель, сипнет голос (это признак чаще можно заметить у грудничков старше 6 месяцев). Голосовые связки краснеют и отекают. Хроническая форма развивается дольше. Симптомы нарастают постепенно. Зачастую развивается, если пациент до этого перенес несколько острых ларингитов.
Ложный круп
Ложный круп – это сужение просвета гортани, которое наступает при поражении голосовых связок. Во время данной стадии голос становиться сиплым или может пропасть вовсе. Температура при этом может как повыситься, так и остаться нормальной, это будет зависеть от причин, вызвавших заболевание.
Стеноз гортани
Если ларингит не лечить, то может развиться стеноз гортани, при котором значительно повышается риск развития удушья. Это связано с увеличением отека слизистой оболочки. Данное состояние может привести к развитию дыхательной недостаточности, поэтому уже при первых признаках появления ларингита не стоит затягивать с походом к специалисту.
Терапия
Лечение ларингита у детей — обычно комплексное. Для устранения неблагоприятных симптомов требуется назначение нескольких групп лекарств. Вирусные ларингиты обычно можно вылечить за 5-7 дней. Бактериальные формы требуют назначения более длительных схем лекарственной терапии. В среднем, такие варианты заболевания можно вылечить за 2 недели.
Выбор лечения остается за лечащим врачом. Схема терапии зависит от причины заболевания, а также возраста ребенка и наличия у него хронических заболеваний. Выбор дозировки, кратности и сроков использования лекарственных средств производится с учетом возрастных показаний. Контроль эффективности за назначенной терапией проводится в середине назначенного цикла лечения и по его завершении.
Для лечения ларингита у малышей применяются:
- Противокашлевые средства. Помогают устранять надсадный кашель. Могут применяться в виде ингаляций, спреев, сиропов или таблеток. Обычно производители препаратов стараются предлагать лекарства с различными фруктовыми вкусами. Такие сладкие добавки приходятся по душе малышам.
- Антисептики для горла. Помогают устранять першение и «царапание» в горлышке у малыша. Выписываются на 7-10 дней по 3-4 пастилки в сутки. Обычно применяются у малышей старше трех лет, которые могут держать препарат во рту до полного рассасывания. Длительный прием данных препаратов может вызывать у ребенка неблагоприятные побочные действия. Обработка миндалин «Люголем» у малыша с ларингитом зачастую не приносит положительного результата.
- Жаропонижающие. Назначаются врачом при повышении температуры тела выше 38 градусов. В детской практике применяются лекарственные средства на основе парацетамола или ибупрофена.
- Антигистаминные. Применяются при аллергических формах ларингита. Назначаются преимущественно в виде таблеток или сладких сиропов. Хорошо переносятся детьми, практически не вызывая побочных действий. В качестве антигистаминных средств подойдут: «», «Супрастин», «» и другие.
- Иммуностимулирующие. Могут быть системного и местного действия. При легких формах заболевания назначаются пастилки, оказывающие стимулирующее действие на клетки иммунной системы. Если у малыша есть иммунодефицитное состояние, то тогда данные препараты выписываются в виде уколов на курсовой прием. Решение о назначении подобного лечения принимает врач-иммунолог.
- Бронхолитики. Применяются при нарушениях бронхиальной проводимости и выраженном дефиците дыхания. Для достижения лучшего эффекта от лечения врачи предлагают пользоваться небулайзером. С помощью него мельчайшие частички лекарства быстро попадают в дыхательные пути. Бронхолитики применяются у малышей, имеющих признаки бронхиальной обструкции.
- Лечебно-охранительный режим. Для быстрого выздоровления ребенку следует соблюдать правильный распорядок дня. На весь острый период болезни ему назначается лечебное щадящее питание. Регламентирована также длительность дневного и ночного сна, а также ограничены активные игры.
- Антибактериальные средства. Назначаются для лечения бактериальных форм ларингитов. Обычно выписываются на 7-14 дней. Для устранения микроорганизмов из организма используются современные антибиотики широкого спектра действия. Контроль эффективности назначенной терапии оценивается на 3-4 день с момента первого приема препаратов.
- Противовирусные и противогрибковые препараты. Назначаются для лечения соответствующих клинических форм. При легком течении болезни выписываются в виде таблеток. Ларингиты, протекающие достаточно тяжело с многочисленными неблагоприятными симптомами, требуют назначения инъекционных форм лекарственных средств.
- Физиотерапевтические методы. Применяются в период стихания обострения и для лечения хронических форм ларингита. Ультразвук, магнитотерапия, электро- и светолечение показаны для устранения неблагоприятных симптомов заболевания. Физиотерапия позволяет также заметно улучшить самочувствие ребенка и укрепляет иммунитет.
- Гормональные препараты. Выписываются крайне редко. Применяются в основном для лечения стойких форм аллергического ларингита. При длительном приеме способны вызывать многочисленные побочные действия. Использование препаратов без соответствующих назначений врача недопустимо.
- Спазмолитики. Применяются для устранения спазмов с внутренних органов. Помогают нормализовать дыхание у малышей, имеющих спастический компонент в дыхании. В качестве спазмолитика в детской практике часто используется «» или «».









































